Callie's "Seizure"" Mystery Solved
If you follow this blog, you may recall that in October of 2007, our then five year old Aussie, Callie, had a horrible episode where she was unable to get up, had a tilted head and was trembling and having neurological difficulties. We were told it was probably a neuro toxin and that she would not make it since by the time a toxin has neurological effects, it is nearly always fatal. But, she did not die. She spent a week in the ER and slowly regained the ability to walk, run, etc. So they concluded it was not a brain tumor because she got better, and it must be a neuro-toxin she had a sub-lethal dose of.
In the following months I kept a close eye on her and she did have some seizure like episodes about 6 months later where she was drooling and trembling and her eyes were dilated - but also a few episodes where she just had a head tilt and problems with her right side. I never felt it was epilepsy. She had seizure like symptoms but was always alert, responsive to me, etc. She just could not control half her body, always the right side.
We went to the nearest neurologist, in Portland, OR and on March 30, 2008 she had a clean MRI that showed no brain tumor, and clean bloodwork, clean spinal tap, etc. Nothing to explain the seizures or the week of not being able to walk. She seemed to make a full recovery for about a year and a half.
In June of 2009 she again had an episode, followed by one three months later in September. They seemed to be getting worse, lasting 45 minutes or more and not wanting to stop. At that point, still not thinking it was "idiopathic (unknown origin) epilepsy," which was all they could come up with, we put her on a human anti-seizure medication called Zonisamide, which is supposed to have not many side effects except gastro-intestinal and to work in 60% of dogs. We had no problems with it.
However, a month later, in early October, she developed a permanent head tilt to the right and I observed one of her eyes was not tracking with me properly, and that she had balance/ataxia issues on her right side persistently. I again took her to the vet and this time they thought it was peripheral vestibular disease, an ear issue that would clear up in time and was causing loss of balance and dizziness. After another month, it was much worse - a much more severe head tilt and more ataxia. Callie was also clearly unhappy at that point, so it was time for another trip to the Portland to see the neurologist.
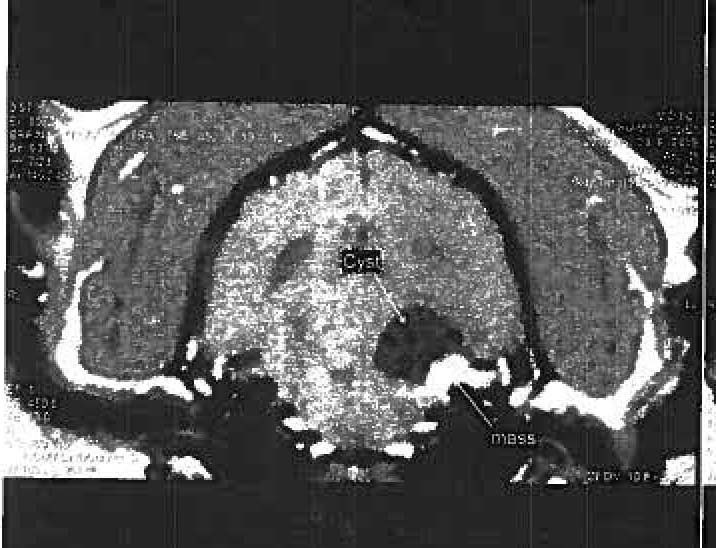
This time the MRI, November 9th, 2009, revealed a brain tumor which is thought to be a meningioma or a trigeminal nerve tumor. It is not small, and there is a fluid filled cyst adjacent to it three times the size of the tumor. This was causing severe pressure in her brain and resulting in dizziness, loss of balance, etc. It means that she has a few months left absent treatment. She is seven next week. A rather poor copy of an image from the scan is posted above.
A course of steroids and a daily medicine called Meclizine that works like Dramamine to help the dizziness have made her temporarily feel better and hold her head normally. She can get in and out of the car most of the time again, for awhile she could not. But it's temporary.
We have an appointment with the nearest neurologist who might be able to operate on her brain to reduce the cyst. The tumor itself is not operable as it is too close to the brain stem. But reducing the cyst could buy her some precious time. They recommend a course of radiation as well, to reduce the tumor and possibly buy more time. Maybe another 2 years before the tumor comes back, maybe less, maybe more.
It's hard to tell. I know someone who was supposed to die of cancer in three months and ended up cancer free, someone who was to die within 2 years and is still here after nearly 10, and someone who was to live up to 2 years and made it 14 days. Callie's case may or may not be cancer, but either way it kills her due to pressure in the brain.
I want to make the best choice for her quality of life, not for my own selfish desire to have her with me. That is very hard to do. We will get more information - much more - on November 30th when we go to Pullman, WA to the vet school for a consultation with neurology and oncology. There is one clinical trial program in the country at U of Minnesota but Callie didn't qualify for any of their current research. If treatment is elected, it is very, very expensive, likely $10,000 to $20,000. This is one pet I should have bought pet insurance on I guess. Too late now though. Perhaps that was an error, though I bet after the first episode of anything it would have been a pre-existing condition" battle. Anyway, money will never be the deciding factor in animal care for me, because the animals are truly my family and deserve the best choices for their health, not only the affordable ones.
I started taking Callie to work with me two years ago and I have appreciated every day I have with her. If we do elect surgery it will be December 1, my dad's birthday. There is substantial risk, so we don't know yet what we will choose. All the vets I have spoken to so far recommend it as a chance to buy her more time that should, in theory, be of good quality. Radiation buys more time as well. Eventually it comes back and kills her. But surviving to 9 or 10 instead of 7 is not insignificant, especially in dog years. If she can still go camping, go for walks, play tug of war and be with me, I think she would say her life is worth living.
The news was obviously devastating and I still have a lot of mixed emotions. The best path is not clear. The only thing I can say for sure is that I don't regret having this awesome dog in my life, she is a huge part of every day since she came home at 9 weeks old, and life without her, whenever that comes to be, will be very hard for a very long time.
In the following months I kept a close eye on her and she did have some seizure like episodes about 6 months later where she was drooling and trembling and her eyes were dilated - but also a few episodes where she just had a head tilt and problems with her right side. I never felt it was epilepsy. She had seizure like symptoms but was always alert, responsive to me, etc. She just could not control half her body, always the right side.
We went to the nearest neurologist, in Portland, OR and on March 30, 2008 she had a clean MRI that showed no brain tumor, and clean bloodwork, clean spinal tap, etc. Nothing to explain the seizures or the week of not being able to walk. She seemed to make a full recovery for about a year and a half.
In June of 2009 she again had an episode, followed by one three months later in September. They seemed to be getting worse, lasting 45 minutes or more and not wanting to stop. At that point, still not thinking it was "idiopathic (unknown origin) epilepsy," which was all they could come up with, we put her on a human anti-seizure medication called Zonisamide, which is supposed to have not many side effects except gastro-intestinal and to work in 60% of dogs. We had no problems with it.
However, a month later, in early October, she developed a permanent head tilt to the right and I observed one of her eyes was not tracking with me properly, and that she had balance/ataxia issues on her right side persistently. I again took her to the vet and this time they thought it was peripheral vestibular disease, an ear issue that would clear up in time and was causing loss of balance and dizziness. After another month, it was much worse - a much more severe head tilt and more ataxia. Callie was also clearly unhappy at that point, so it was time for another trip to the Portland to see the neurologist.
This time the MRI, November 9th, 2009, revealed a brain tumor which is thought to be a meningioma or a trigeminal nerve tumor. It is not small, and there is a fluid filled cyst adjacent to it three times the size of the tumor. This was causing severe pressure in her brain and resulting in dizziness, loss of balance, etc. It means that she has a few months left absent treatment. She is seven next week. A rather poor copy of an image from the scan is posted above.
A course of steroids and a daily medicine called Meclizine that works like Dramamine to help the dizziness have made her temporarily feel better and hold her head normally. She can get in and out of the car most of the time again, for awhile she could not. But it's temporary.
We have an appointment with the nearest neurologist who might be able to operate on her brain to reduce the cyst. The tumor itself is not operable as it is too close to the brain stem. But reducing the cyst could buy her some precious time. They recommend a course of radiation as well, to reduce the tumor and possibly buy more time. Maybe another 2 years before the tumor comes back, maybe less, maybe more.
It's hard to tell. I know someone who was supposed to die of cancer in three months and ended up cancer free, someone who was to die within 2 years and is still here after nearly 10, and someone who was to live up to 2 years and made it 14 days. Callie's case may or may not be cancer, but either way it kills her due to pressure in the brain.
I want to make the best choice for her quality of life, not for my own selfish desire to have her with me. That is very hard to do. We will get more information - much more - on November 30th when we go to Pullman, WA to the vet school for a consultation with neurology and oncology. There is one clinical trial program in the country at U of Minnesota but Callie didn't qualify for any of their current research. If treatment is elected, it is very, very expensive, likely $10,000 to $20,000. This is one pet I should have bought pet insurance on I guess. Too late now though. Perhaps that was an error, though I bet after the first episode of anything it would have been a pre-existing condition" battle. Anyway, money will never be the deciding factor in animal care for me, because the animals are truly my family and deserve the best choices for their health, not only the affordable ones.
I started taking Callie to work with me two years ago and I have appreciated every day I have with her. If we do elect surgery it will be December 1, my dad's birthday. There is substantial risk, so we don't know yet what we will choose. All the vets I have spoken to so far recommend it as a chance to buy her more time that should, in theory, be of good quality. Radiation buys more time as well. Eventually it comes back and kills her. But surviving to 9 or 10 instead of 7 is not insignificant, especially in dog years. If she can still go camping, go for walks, play tug of war and be with me, I think she would say her life is worth living.
The news was obviously devastating and I still have a lot of mixed emotions. The best path is not clear. The only thing I can say for sure is that I don't regret having this awesome dog in my life, she is a huge part of every day since she came home at 9 weeks old, and life without her, whenever that comes to be, will be very hard for a very long time.


Comments